Aktivator
Dieses herausnehmbare Behandlungsgerät kommt bei Patienten mit Unterkieferrücklage zum Einsatz und bewirkt eine Bissumstellung mit Hilfe der körpereigenen Muskelkräfte.
Approximale Schmelzpolitur
Bei einem Missverhältnis zwischen Zahn- und Kiefergröße im Sinne zu kleiner Kiefer und/oder zu großer Zähne ist eine geringe Reduzierung der Zahnbreiten mittels approximaler Schmelzpolitur möglich und unproblematisch, um langfristig Engständen entgegenzuwirken oder Extraktionen bleibender Zähne zu vermeiden. Bei richtiger Ausführung wird das Kariesrisiko nicht erhöht; dies ist in zahlreichen wissenschaftlichen Studien nachgewiesen.
Bionator
Dieses herausnehmbare Behandlungsgerät findet seine Anwendung bei Kieferfehlstellungen mit Rücklage des Unterkiefers. Es erfolgt eine Bissumstellung in die Regelverzahnung. Der Bionator ist eine ganzheitliche Apparatur und nutzt körpereigene Kräfte, die durch die Kaumuskulatur auf die Behandlungsapparatur übertragen werden.
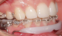
Brackets, Bänder, Bögen

Behandlung mit festsitzenden Brackets ermöglicht Zahnbewegungen in allen drei Dimensionen des Raumes. So können wir die schwierigsten Zahnfehlstellungen behandeln wie extreme Zahndrehungen, Zahnkippungen und Engstände sowie Lückenschluss über große Distanzen.
Bei der Wahl der benutzten Brackets bieten wir verschiedene Möglichkeiten an: z.B.
- durchsichtige Brackets aus Keramik
- besonders kleine Brackets aus Metall
- innen liegende Brackets, sog. Lingualbrackets. Hier kann eine ästhetische Beeinträchtigung vollständig vermieden werden.
Um etwaige Schäden (z.B. Karies) an den Zähnen zu vermeiden, kleben wir die Brackets mit einem Flourid abgebenden Kleber/Bond auf die Zähne. Natürlich ist trotzdem eine gewissenhafte Mundhygiene während einer festsitzenden Behandlung unabdingbar, weil sich Speisereste und Beläge leicht um die Brackets herum festsetzen können. Bei vorgeschädigter Zahnhartsubstanz und/oder weichem Zahnschmelz können alternativ zu der festsitzenden Apparatur Invisalign®-Schienen zum Einsatz kommen.
Dehnplatte für den Ober- und Unterkiefer
Die Dehnplatte kommt zum Einsatz, wenn der Kiefer (Ober- oder Unterkiefer) zu eng ist. Der Kiefer wird durch „Aufschrauben“ des Gerätes geweitet.
Erwachsenenbehandlung
Eine kieferorthopädische Behandlung ist auch im Erwachsenenalter möglich.
Oftmals wurde eine Behandlung im Kindesalter versäumt, jedoch können auch erst im Erwachsenenalter Zahnfehlstellungen auftreten oder sich permanent verstärken, die dann ästhetische oder funktionelle Beeinträchtigungen zur Folge haben. Durch spezielle Behandlungstechniken, z. B. Invisalign®-Schienentherapie, linguale Brackets, Keramikbrackets oder kleine Metallbrackets, wird dem erwachsenen Patienten die Behandlung so angenehm wie möglich gemacht.
Facemask (Gesichtsmaske)
Bei zu starkem Unterkieferwachstum oder Rücklage des Oberkiefers kommt eine Außenspange zum Einsatz. Häufig wird zunächst mit einer GNE der Oberkiefer gedehnt, um dann mit der Gesichtsmaske (Frontalzug-Headgear) den Unterkiefer zu bremsen und den Oberkiefer in die richtige Position zu ziehen. Es resultiert eine Überstellung der Kiefer.
Frühbehandlung von Kindern

Hier geht es um die frühe Therapie von Kiefer- und Zahnfehlstellungen im Milchgebiss. Spätere Zahnextraktionen bleibender Zähne infolge starken Platzmangels sowie chirurgische Kieferstellungskorrekturen können so oft vermieden werden.
Funktionsdiagnostik
Vor jeder Therapie steht eine umfassende Diagnostik. Es sind präzise Untersuchungen notwendig, um die komplizierten Zusammenhänge des gesamten Mund- und Kieferbereichs und der damit verbundenen Muskelgruppen zu erfassen. Dies kann sowohl durch klinische Untersuchungen als auch durch Analysen erfolgen.
Funktionsregler (Fränkel III)
Nach der Behandlung mit der Gesichtsmaske wird mit der herausnehmbaren Spange „Fränkel III“ eine weitere wachstumsgünstige Optimierung der Kieferstellung bewirkt.
Ganzheitliche Therapie
Bei Fehlfunktionen des Kiefergelenks (z. B. Knacken, Reiben, Schmerzen, Bewegungseinschränkungen) müssen Fehlstellungen des Rückens und der Hüfte sowie myofunktionelle Fehlfunktionen (Fehlfunktion der Zunge, Kaumuskulatur oder der Atmung) berücksichtigt werden. Kopfschmerzen, Rücken- und Nackenschmerzen, Tinnitus, Neuralgien, Müdigkeit und viele andere, zum Teil chronische Erkrankungen können daraus entstehen und im Zusammenhang mit Zahn- und Kieferfehlstellungen betrachtet werden.
GNE
Die GNE ist eine Gaumennahterweiterungsapparatur. Das Gerät wird bei einem zu kleinen Oberkiefer eingesetzt und drückt die beiden Kieferhälften auseinander, so dass der Oberkiefer breiter wird.
Invisalign®
Invisalign® ist eine neue kieferorthopädische Behandlungsmethode, bei der eine Abfolge herausnehmbarer, durchsichtiger, semielastischer Polyurethanschienen die Zahnfehlstellung korrigieren.
Diese Therapieform trägt dem gesteigerten ästhetischen Bewusstsein von jugendlichen und erwachsenen Patienten Rechnung und kann sehr oft (abhängig von dem Ausmaß der Zahn- und Kieferfehlstellung) eine gute Alternative bzw. eine sinnvolle Ergänzung zu den übrigen Behandlungsmitteln sein.
Kernspinaufnahme des Kiefergelenks (MRT)
Bei Kiefergelenksbeschwerden kann es sinnvoll sein, einen Radiologen für eine Kernspinaufnahme des Gelenks hinzuzuziehen. Die Ursache der bestehenden Beschwerden kann auf diese Weise im bildgebenden Verfahren objektiviert werden.
Kiefergelenksprobleme
Die meisten Beschwerden entstehen durch die Überlastung der Kiefergelenksstrukturen infolge von Fehlfunktionen (Pressen, Knirschen etc.) bzw. durch die Verlagerung der im Gelenk befindlichen Knorpelscheibe. Durch eine spezielle Diagnostik und speziell gefertigte Aufbissschienen kann das Kiefergelenk entlastet werden. Eine kieferorthopädische Anschlussbehandlung kann die Stabilisierung der neuen Situation bewirken.
Lachlinie
Eine schöne Lachlinie ist dann gegeben, wenn sich beim Lächeln die oberen Frontzahnkronen in einer normalen und zum Körpertyp passenden Größe zeigen und nur ein geringer Teil des Zahnfleisches sichtbar ist.
LipLifter

Im Laufe der Zeit erschlaffen Muskeln und Gewebe auch im Gesicht. Diesen Alterserscheinungen kann mit einem LipLifter, einem herausnehmbaren Trainingsgerät, entgegengewirkt werden. Dieser glättet Mund, Wangen, Kinnpartie und den Dekolletébereich.
Lippenprofil
Die Stellung der Frontzähne beeinflusst das Aussehen des Lippenprofils. Dieses wird bei der kieferorthopädischen Behandlung berücksichtigt.
Lippenschild (Lip-Bumper)

Das Lippenschild wird bei Engstand im unteren Frontzahnbereich benutzt. Es ist herausnehmbar und wird an den Backenzähnen fixiert. Das Lippenschild sitzt zwischen Frontzähnen und Unterlippe und sorgt durch den Lippendruck auf das Lippenschild für eine Erweiterung des Zahnbogens.
Migränepatienten
Eine Fehlstellung des Kiefergelenks kann bei einigen Patienten Migränebeschwerden verursachen, die durch speziell angepasste Kiefergelenksschienen gelindert oder ganz abgestellt werden können.
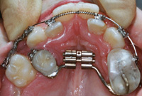
Nance-Apparatur
Das Behandlungsgerät wird in Verbindung mit Brackets und Druckfedern fest in die Mundhöhle eingebracht. Backenzähne können nach hinten in die korrekte Verzahnung geschoben oder dort passiv gehalten werden (Verankerungsapparatur).
Positioner
Es handelt sich um Schienen, die auf dem Patientenmodell tiefgezogen werden und kurzzeitig nach dem Entfernen der festsitzenden Apparatur eingesetzt werden können.
Präprothetische Behandlung
Eine kieferorthopädische Vorbehandlung vereinfacht in vielen Fällen die prothetische Versorgung des erwachsenen Patienten.
Retainer (permanent): zur Langzeitretention
Dieses Retentionsgerät bewirkt ein dauerhaft stabiles Behandlungsergebnis. Der dünne Retentionsdraht wird mit Kunststoff an der Rückseite der Oberkiefer- und Unterkieferfrontzähne unsichtbar fixiert und stabilisiert die jeweilige Frontpartie.
Retention (Halten der Zähne)
Im Anschluss an eine Behandlung werden die Zähne in der gewünschten Position durch herausnehmbare Plattenapparaturen oder grazile, durchsichtige Positioner stabilisiert.
Schnarchpatienten
Schnarchen wird oft durch das Zurückfallen des Unterkiefers bei geöffnetem Mund (Mundatmer) verursacht und kann durch ein nachts zu tragendes Behandlungsgerät vermieden werden.
Schönes Lachen
Ein schönes Lachen in einem attraktiven Gesicht signalisiert Sympathie und Selbstvertrauen.
Die korrekte Position der oberen Frontzähne ist am wichtigsten für die Attraktivität des Lächelns. Schon kleine Zahnkippungen, unterschiedliche Form und Farbe der Zähne und Abweichungen von der Symmetrie werden von vielen Menschen als unattraktiv empfunden.
In vielen Fällen ist eine Korrektur mit geringem Zeit- und Behandlungsaufwand in jedem Alter möglich.
Spezialisten und interdisziplinäre Zusammenarbeit
Unser Ziel ist es, die Patienten in ein ganzheitliches Gleichgewicht zu bringen und dabei eventuell alle Einflussfaktoren mit zu berücksichtigen. Im Rahmen einer interdisziplinären Zusammenarbeit lassen wir uns je nach Indikation von Spezialisten helfen (Logopäden, Implantologen, Prothetiker, Kieferchirurgen, Osteopathen, Naturheilkundler ...).
Sublingualbügel

Der Sublingualbügel ist eine festsitzende Haltespange, die an den 6-Jahr-Molaren fixiert wird. Er dient während des Zahnwechsels als Verankerungsapparatur.
Sublingualbügel mit Zungenspikes
Dieses Gerät hilft beim Fernhalten der Zunge aus dem Frontzahnbereich und kommt bei einer falschen Lage der Zunge beim Schlucken zum Einsatz, um den Schluckreflex umzuprogrammieren.
Zahnverbreiterung
Bei einem Missverhältnis zwischen Zahn- und Kiefergröße im Sinne zu kleiner Zähne oder zu großer Kiefer kann es vorkommen, dass am Ende der Behandlung Restlücken verbleiben. Mittels Zahnverbreiterung können diese Lücken geschlossen werden.





